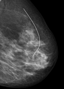
Präoperative Drahtmarkierung und Präparateradiografie

Sonografisch nicht oder nur erschwert darstellbare Befunde (z.B. Mikroverkalkungen der Brust) werden vor der Operation mit einem Draht markiert über den der Operateur die Veränderung leichter und mit geringem Gewebeschaden lokalisieren kann. Der Draht wird unter mammografischer Kontrolle über eine sehr dünne Hohlnadel (20G = 0,9mm) an den Befund herangeführt und dort mit einem Widerhaken fixiert. Zuvor werden die Haut und die darunter liegenden Gewebeschichten örtlich betäubt. Um zu Überprüfen, ob der Befund vollständig entfernt wurde, wird von dem Präparat eine Röntgenaufnahme angefertigt, eine sogenannte Präparateradiografie.

AKTUELLES

Keine Artikel in dieser Ansicht.